Active shooter 'guns down TWENTY people at Minneapolis church'

Can't find this elsewhere, will find a better non DailyMail article, later.

_________________________

Active shooter 'guns down TWENTY people at Minneapolis church'

By NATASHA ANDERSON, SENIOR US NEWS REPORTER15:01 27 Aug 2025, updated 15:10 27 Aug 2025

An active shooter situation is underway at a Catholic church in south Minneapolis.

The gunman has attacked 20 people this morning at Annunciation Church on 54th Street, according to preliminary reports that have not yet been confirmed by police.

At least four people are injured and two dead in the mass shoot out, the reports add.
Minnesota state troopers, local police, FBI agents, paramedics and a large number of ambulances have responded to the scene.

Officials at the Catholic grade school on the same grounds as the parish told Daily Mail that 'now is not the time to be answering your questions'.

Daily Mail has approached the church and local police for further information.

This is a breaking news story. Check back for updates.

_________________
Update 1: (Sorry, no photos, DM sucks ass.)

At least 20 people are feared to have been gunned down after an active shooter stormed a Catholic church in Minneapolis as the parish school was holding its start-of-year mass.

The shooter stormed Annunciation Catholic Church on 54th Street around 8:30am local time. A Catholic grade school is connected to the church.

Preliminary reports indicate that at least four people are injured in the mass shoot, although authorities have not yet confirmed the number of victims.

Multiple children have been taken to a nearby hospital, law enforcement sources told KARE. It is unclear how exactly how many children have been hurt.

Minnesota state troopers, local police, FBI agents, paramedics and a large number of ambulances are currently at the scene.

'I’ve been briefed on a shooting at Annunciation Catholic School and will continue to provide updates as we get more information,' Governor Tim Walz said.

'The BCA and State Patrol are on scene. I’m praying for our kids and teachers whose first week of school was marred by this horrific act of violence.'

Officials at Annunciation Catholic School told Daily Mail that 'now is not the time to be answering your questions'.

It is unclear if the gunman has been apprehended. Daily Mail has approached the church and local police for further information.

An active shooter situation is underway at Annunciation Catholic Church on 54th Street in Minneapolis

Minnesota state troopers, local police, FBI agents, paramedics and a large number of ambulances are currently at the scene

Witnesses claim a man dressed in all black and armed with a rifle was spotted on the church grounds, though these reports have not yet been verified by police.

Parents have gathered near the church as they desperately seek answers about the welfare of their children.

'I'm monitoring reports of horrific violence in South Minneapolis. I'm in touch with Chief O'Hara and our emergency response team has been activated,' Mayor Jacob Frey said.

'We will share more information as soon as we can. Please give our officers the space they need to respond to the situation.'

This is a breaking news story. Check back for updates.

_________________
Update 2: This is the first listed archive that seems to still be up and running. Thought it should be added. Thank you, @WelfareNiggerQueen
Uploading sucks right now. I'm trying to put the rest of the videos up. In the meantime here are Catbox links.

Robin Westman

Robin Westman ehehehe

PAINTING_THE_MONA_LISA_WITH_A_SKATEBOARD

Reading_a_dryer_manual_for_no_other_reason_than_to_waste_my_time

08.27.2025 RMW
And another for posterity. Thank you, @clipartfan92

Pictures of the suicide note. Thank you, @Evilronald
View attachment 7838093
View attachment 7838151
View attachment 7838102
View attachment 7838107

The Cyrillic Screed as transliterated by @Safir. Thank you, Safir.
Pages 1,2,3
Pages 4,5,6,7
Pages 7-End

A different transliteration by @Cryptic Translator Thank you, Cryptic Translator.
First Half
 
Last edited:
It's miraculous that she managed to pull through and survive! Thank god!
Praise God she made it. At least this good news to have for while, too much death and decay. We need to have something positive and this was it right here.
 
That is lovely news, I hope she has a good support network and she continues to process and deal with the feelings that will come with surviving that terrible terrible shooting.
 
Is it confirmed that her personality and such is still intact? She can still speak without slurring and can recall information without (much) delay, and has complete motor skills? If so, that's absolutely miraculous. It's still a miracle she lived and has been recovering, it would just be unbelievable that she was able to make it without some form of permanent damage. Then again, she's still young, she'd be able to be more resilient than someone like Gabby Giffords who was shot in her 40s and whose speech never fully recovered.
 
Is it confirmed that her personality and such is still intact? She can still speak without slurring and can recall information without (much) delay, and has complete motor skills? If so, that's absolutely miraculous. It's still a miracle she lived and has been recovering, it would just be unbelievable that she was able to make it without some form of permanent damage. Then again, she's still young, she'd be able to be more resilient than someone like Gabby Giffords who was shot in her 40s and whose speech never fully recovered.
I know someone who shot themselves in the head - on purpose - and made a full recovery. I have absolutely no idea how, but they're not even slightly impaired.

I think in certain conditions the bullet basically skips across the brain, like a stone over water, around the curve of the skull, bruising but not destroying it. At a shallow enough angle, a bullet could lose nearly all of its energy before reaching the brain.
 
It might not be fun to hear, but this girl and her family have an obligation to speak out publicly against trannyism and the gender cult. They won't and nobody will expect them to do so since they've been through a lot of trauma already, but it would be the best use of their positions right now to actually bring some attention to the problem.
No.
Just like I wouldn't demand a young boy to loudly protest the fact he had been raped by a man (or tranny) I would absolutely not put it on a fucking *child* who was *SHOT* to protest trannies that are already in a downturn. You want to make sure that kid is murdered or something? Go protest the most mentally ill group in all of the world.
Fuck off.

Those doctors are miracle workers with skill unparalleled. I'm glad she's mostly okay, she has a long road ahead of her.
 
Anyone wonder about the "active shooter" thing. I mean how many people would a "passive shooter" kill? I mean they wouldn't kill anyone. They would just sit there with a gun, not doing anything.
 
Is it confirmed that her personality and such is still intact? She can still speak without slurring and can recall information without (much) delay, and has complete motor skills? If so, that's absolutely miraculous. It's still a miracle she lived and has been recovering, it would just be unbelievable that she was able to make it without some form of permanent damage. Then again, she's still young, she'd be able to be more resilient than someone like Gabby Giffords who was shot in her 40s and whose speech never fully recovered.
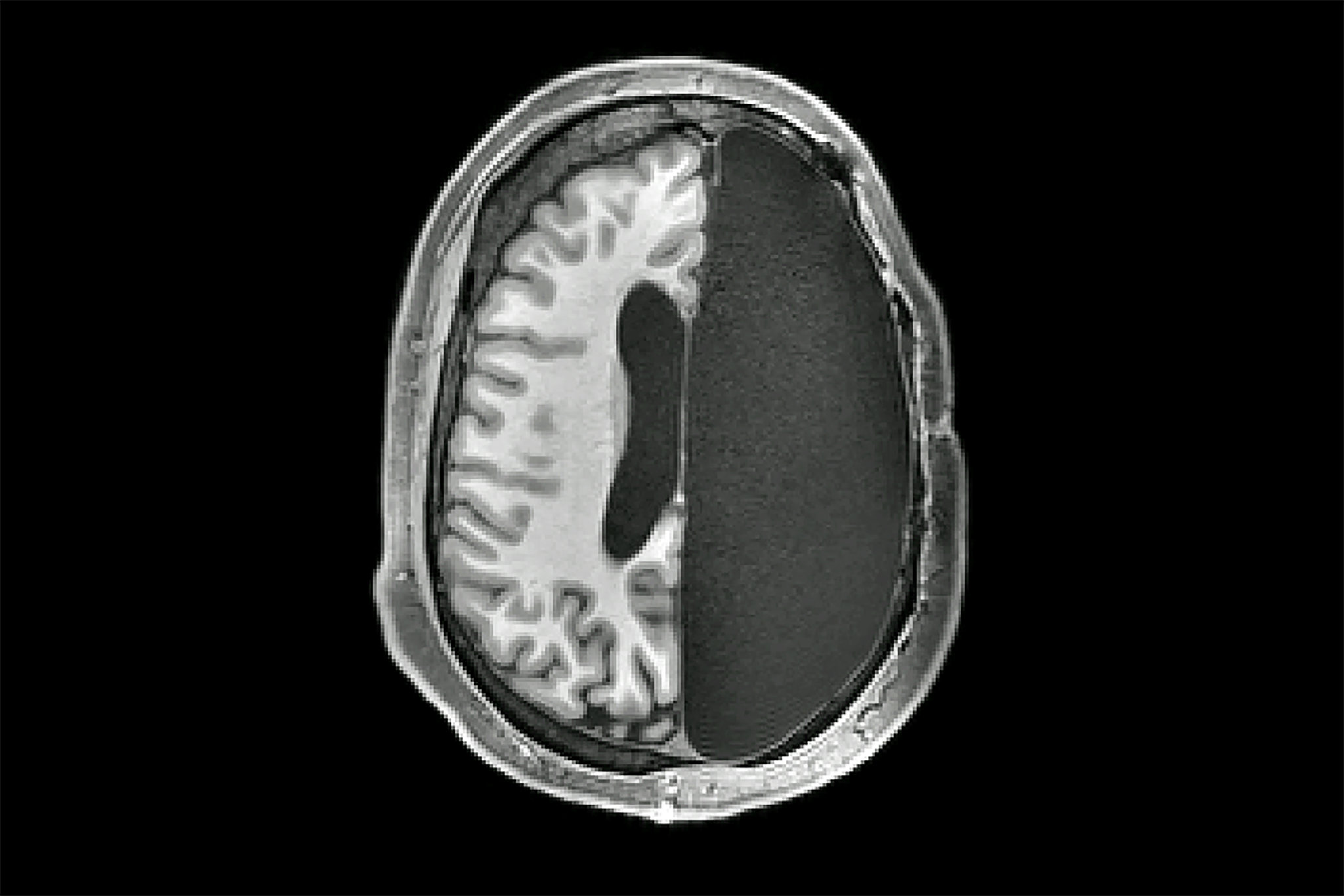
I may not know much about the brain but I'm pretty sure that if a part of the brain is damaged, the human brain can compensate by increasing the function in the other hemisphere. People have had half of their brains surgically removed in childhood (anatomical hemispherectomy) to end their severe seizures, and manage to become seemingly normalish people. The human body is surprisingly both extremely strong and fragile at the same time
1762576243260.jpeg
 
It might not be fun to hear, but this girl and her family have an obligation to speak out publicly against trannyism and the gender cult. They won't and nobody will expect them to do so since they've been through a lot of trauma already, but it would be the best use of their positions right now to actually bring some attention to the problem.
No. They've suffered enough. That family makes a peep it'll be stalking and harassment and bullying at school. No. She already paid for the negligence and cowardice of others.
 
Local footage:
View attachment 8133022View attachment 8133024
View attachment 8133025
View attachment 8133027

It's miraculous that she managed to pull through and survive! Thank god!
This is tear bringing. In a happy way.

Sometimes it's nice to see some stuff on the farms of all places that makes you feel human and alive.

Wishing her the best recovery and a second chance at life after surviving something so traumatic.

It really is beautiful to be alive sometimes.

Edit: Reddit does not have a single post/thread about this happy story.
 
Last edited:
Amazing news, Sophia, who was shot in the head, is finally out of the hospital after almost 60 days and made it home in time to celebrate her 13th birthday. Article shows a video of her being cheered on by a crowd in celebration.
(Archive)
One of the advantages of youth is an amazing ability to heal. I'm glad to read that she recovered from such a serious injury.
 
Amazing news, Sophia, who was shot in the head, is finally out of the hospital after almost 60 days and made it home in time to celebrate her 13th birthday. Article shows a video of her being cheered on by a crowd in celebration.
(Archive)

I don't have anything to add to the discussion. Just feeling compelled to say that I'm so glad she's pulled through.

Sophia will definitely face challenges over the coming years. May she go on to do great things. Atta girl x
 
Is it confirmed that her personality and such is still intact? She can still speak without slurring and can recall information without (much) delay, and has complete motor skills? If so, that's absolutely miraculous. It's still a miracle she lived and has been recovering, it would just be unbelievable that she was able to make it without some form of permanent damage. Then again, she's still young, she'd be able to be more resilient than someone like Gabby Giffords who was shot in her 40s and whose speech never fully recovered.
She should be entering phase 3 of TBI recovery which lasts 6-12 months following the injury where cognitive faculties can rapidly increase. Permanent sequelae injury will be obvious after recovery plateaus. Of course it being a focal and open brain injury makes recovery more likely but the swelling and skull removal may counteract that.

TBIs tend to leave permanent impairments to executive functioning but without knowing where the bullet hit it’s hard to know if that will be the case for her. Either way, with a proper care team and planning the potential for cognitive recovery can be quite high. I hope she has an excellent neuropsychologist on her team.
 
Back
Top Bottom