📚 Megathread SRS and GRS surgeons and associated horrors - the medical community of experimental surgeons, the secret community of home butchers

Checked on neovaginadisasters.com tonight and was disappointed to see the video linked here was gone: https://www.neovaginadisasters.com/...ovagina-infected-with-maggots-seriously-nsfl/

Thankfully, someone in the comments tracked it down! Basically, this unfortunate soul has a massive necrotic wound that has either been colonized by wild flesh-eating maggots (:_(or has a doctor using sterile medical maggots. I'm hoping it's the medical maggots, which are actually really good at cleaning nasty rotten flesh because it's what they naturally eat and they aren't strong enough to bite the healthy tissue you'd want to keep. If anyone knows what language they're speaking and can translate, please do!

I'll never look at figs and passion fruits the same way now. :cryblood:


Vanessa Vokey made this video and oh god it's so hard to watch. (:_(
 
Ayyy Kathy Rumer does it again! This was too gross and fascinating that I must repost it for archiving purposes. God forbid we lose this specimen.

vu2jh24pnb171.jpgx9hxa04pnb171.jpgh9swu04pnb171.jpgtz3o114pnb171.jpg5w0im14pnb171.jpg1xos734pnb171.jpgfce7634pnb171.jpgd7op234pnb171.jpg6l65v34pnb171.jpgpbkvo34pnb171.jpgn4t4ia4pnb171.jpg75r4h44pnb171.jpgvmxil54pnb171.jpgdkebm54pnb171.jpgfye2i54pnb171.jpgc32ww54pnb171.jpgus9arc4pnb171.jpg

Archive. Apparently the thing he's pulling out is a "biological graft that doesn't belong to him" that's there to "support the space between the bladder and the canal". I've never heard of a biological graft, any medfags wanna confirm this?
 
Ayyy Kathy Rumer does it again! This was too gross and fascinating that I must repost it for archiving purposes. God forbid we lose this specimen.


Archive. Apparently the thing he's pulling out is a "biological graft that doesn't belong to him" that's there to "support the space between the bladder and the canal". I've never heard of a biological graft, any medfags wanna confirm this?
Just for reference, I’m pretty sure this is the same nigger who constantly simps for Rumer whenever others try to warn people away from this butcher. There’s more pics of his hole earlier in the thread that aren’t in this set.
 
Ayyy Kathy Rumer does it again! This was too gross and fascinating that I must repost it for archiving purposes. God forbid we lose this specimen.


Archive. Apparently the thing he's pulling out is a "biological graft that doesn't belong to him" that's there to "support the space between the bladder and the canal". I've never heard of a biological graft, any medfags wanna confirm this?

Half those fuckin pics if you didn't tell the viewer what it was before hand they'd think it was a very disturbed schizoid's abstract oil painting, Jesus Christ
:stress:
 
Ayyy Kathy Rumer does it again! This was too gross and fascinating that I must repost it for archiving purposes. God forbid we lose this specimen.


Archive. Apparently the thing he's pulling out is a "biological graft that doesn't belong to him" that's there to "support the space between the bladder and the canal". I've never heard of a biological graft, any medfags wanna confirm this?
Is this what happens when you spill McDonald's coffee on your groin?
 
Ayyy Kathy Rumer does it again! This was too gross and fascinating that I must repost it for archiving purposes. God forbid we lose this specimen.


Archive. Apparently the thing he's pulling out is a "biological graft that doesn't belong to him" that's there to "support the space between the bladder and the canal". I've never heard of a biological graft, any medfags wanna confirm this?
I'm starting to get positively offended at how much taint is being left behind on these patients. The positioning is so fucking weird, and it always has that telltale seam down the middle. Anyway.

After reading the guy's post, it seems he developed either a fistula (hole) between the bladder and neovaginal canal or the bladder was prolapsing down and putting pressure on the neovagina. So he got some kind of graft to try and close it. The graft failed. I don't know what they're using these days for this type of shit, vaginal mesh was all the rage and became a class action lawsuit for maiming patients left and right. So its complicated even for people with non-frankenstein genitalia to sort out. No clue what they use on inverted dicks. I do know that if an initial repair fails you are unlikely to get another chance to fix it. If it doesn't work the first time its statistically useless to try again so surgeons nope out of that.

The patient describes the graft as completely occluding the urethra so he couldn't pee until he had this thing cut. I don't know how anyone that does genital surgery could be unfamiliar with suprapubic (above the pubic bone) urinary catheters. You're supposed to install one if your patient needs a way to urinate that circumvents the urethra. It is a fairly straightforward procedure to get one. Farrah Flawless ended up with one for several months while having some kind of neovaginal health crisis. If the patient's recollection of events is accurate, rumer is worse than I thought. iirc he said he went back to the office, he would have been better off in an ER where they aren't afraid to put tubes where they need to go. There was a pic in this thread way earlier from some troon whose neovagina just makes shit like this naturally and sheds it every so often, and I do not trust the word of troons in general about this type of shit because soooo many of them claim to be intersex when they aren't.

Sometimes real women do need support because of pelvic organ prolapse, and in such cases they can be fitted with an appropriate pessary (if avoiding surgery is a goal). The shape of it depends on which organs are prolapsing and putting pressure on the vagina. They have been around for many hundreds of years. They can be left in or taken out whenever though. Here is a pic of various shapes for various conditions.
pessary.jpg
I don't know if they work on troon neovaginas... It would be more accurate to say I don't know why they would work on a troon.
 
I'm starting to get positively offended at how much taint is being left behind on these patients. The positioning is so fucking weird, and it always has that telltale seam down the middle. Anyway.

After reading the guy's post, it seems he developed either a fistula (hole) between the bladder and neovaginal canal or the bladder was prolapsing down and putting pressure on the neovagina. So he got some kind of graft to try and close it. The graft failed. I don't know what they're using these days for this type of shit, vaginal mesh was all the rage and became a class action lawsuit for maiming patients left and right. So its complicated even for people with non-frankenstein genitalia to sort out. No clue what they use on inverted dicks. I do know that if an initial repair fails you are unlikely to get another chance to fix it. If it doesn't work the first time its statistically useless to try again so surgeons nope out of that.

The patient describes the graft as completely occluding the urethra so he couldn't pee until he had this thing cut. I don't know how anyone that does genital surgery could be unfamiliar with suprapubic (above the pubic bone) urinary catheters. You're supposed to install one if your patient needs a way to urinate that circumvents the urethra. It is a fairly straightforward procedure to get one. Farrah Flawless ended up with one for several months while having some kind of neovaginal health crisis. If the patient's recollection of events is accurate, rumer is worse than I thought. iirc he said he went back to the office, he would have been better off in an ER where they aren't afraid to put tubes where they need to go. There was a pic in this thread way earlier from some troon whose neovagina just makes shit like this naturally and sheds it every so often, and I do not trust the word of troons in general about this type of shit because soooo many of them claim to be intersex when they aren't.

Sometimes real women do need support because of pelvic organ prolapse, and in such cases they can be fitted with an appropriate pessary (if avoiding surgery is a goal). The shape of it depends on which organs are prolapsing and putting pressure on the vagina. They have been around for many hundreds of years. They can be left in or taken out whenever though. Here is a pic of various shapes for various conditions.
View attachment 2209254
I don't know if they work on troon neovaginas... It would be more accurate to say I don't know why they would work on a troon.
I highly doubt it would work on a troon, ignoring the fact their hole is just an inside out skin sock. That's it, it's skin, while even while collapsing, prolapsing (...relaxing all cool) the vagina is still all muscle and probably would flex and grip the insert.
 
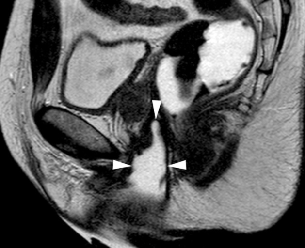
found an awesome study of mri imaging of neovaginas. some nsfw pictures in the link.


This is some guy that is having depth loss and stenosis 13 years after the initial procedure. Jesus.
steno.jpg
this is a view from the side of a patient. their spine is on the right hand side. the arrows show the border of the neovaginal canal. Just imagine the type of shit that builds up in the top of this shape.
 
found an awesome study of mri imaging of neovaginas. some nsfw pictures in the link.

Often, the detailed surgical technique was not described in the surgical report, and the surgical approach used was deducted by analysis of the changes shown at MR and not from the patient charts.

An additional limitation of our study concerns the inability to determine retrospectively how much the imaging results had an impact on the functional outcome and quality of life of these patients, as most of them were lost at follow-up.
Sounds like the radiologists are enjoying watching this mess from a safe distance, behind lead shielding.
 
An additional limitation of our study concerns the inability to determine retrospectively how much the imaging results had an impact on the functional outcome and quality of life of these patients, as most of them were lost at follow-up.
quality of life
most of them were lost at follow-up.
:thinking:
 
Look, I used to go on rotten.com and BestGore as a kid. No amount of dead bodies or images of death have ever made me feel such visceral disgust. Putrid. Absolutely foul.
Also; What the FUCK is that white ball of, what I can only refer to as, "stuff"??? Imagine the smell. Dear God.

I seriously fear accidentally clicking open a NSFW SPOILER every time I go on this thread. It’s already happen a few times and getting a half second glance is enough to make me agree with you wholeheartedly. Possibly because even in the worse conditions, death is still natural even given how gruesome it can be at times. We’re morbidly curious BECAUSE it’s so natural and we want to know more about it before it comes for us. This whole thing is far from natural...it’s literally a man made Frankenstein.
 
she says she did not have vaginectomy. Even kept the ovaries.
In the event of a pregnancy, do you guys think she'll be able to give naturally birth to a child? 🤔
The possible scenarios I can imagine are 1. the passage of the baby destroys the butcher's job making the mother die for blood losses or 2. the baby get stuck and they both die.
 
Ayyy Kathy Rumer does it again! This was too gross and fascinating that I must repost it for archiving purposes. God forbid we lose this specimen.


Archive. Apparently the thing he's pulling out is a "biological graft that doesn't belong to him" that's there to "support the space between the bladder and the canal". I've never heard of a biological graft, any medfags wanna confirm this?
That kids is called necrosis .
 
Is it a real, reputable surgery? Last time I heard that term it was over guys going to underground, underlicensed doctors for sexual reasons. I thought removal of one's penis was limited to extreme injury or penile cancer.

So why aren't we chopping off healthy legs and blinding people? What's the justification there?
Absolutely real. Here is a place that does it [x]

D9798466-FAF2-4268-AD89-FD473325525E.jpeg05894421-7C85-40AE-8B71-C3CD27491DC8.jpeg9485B602-8A44-4AA3-A1BF-71A149088A56.jpeg
 
Back
Top Bottom